Tim profesora Shoichira Asayame razvio je Thy‑PEG — neutralni PEG modifikovan jednom timin bazom koji se, uz kratki annealing plazmida (85 °C, 5 min), vezuje za delimično denaturisanu plazmidnu DNK putem vodoničnih veza. Optimizovani uslovi (0.2 mM Na+, 0.06 mg/mL DNK) omogućili su formiranje SNTC kompleksa koji štiti DNK od DNaze. U miševima je Thy‑PEG5k (H/B = 0.5) povećao ekspresiju luciferaze ~14x u odnosu na annealovanu DNK bez nosača, uz nižu citotoksičnost u poređenju sa kationskim polimerima. Potrebne su veće studije za potvrdu i procenu bezbednosti.
Thy‑PEG — Novi Neutralni PEG Nosač Koji Povećava Dostavu Plazmidne DNK U Skeletne Mišiće

Unošenje DNK u žive ćelije često se oslanja na pozitivno naelektrisane nosače koji privlače negativno naelektrisanu DNK, ali takvi sistemi mogu izazvati upalu, iritaciju i neselektivno vezivanje u tkivima. Tim profesora Shoichira Asayame (Tokyo Metropolitan University) predstavlja alternativu: neutralni polietilen‑glikol (PEG) modifikovan jednom timin bazom — Thy‑PEG — koji se vezuje za delimično denaturisanu plazmidnu DNK putem vodoničnih veza, bez upotrebe kationskih interakcija.
Kako funkcioniše pristup
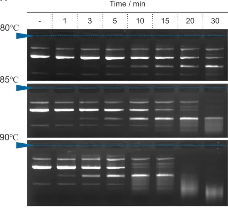
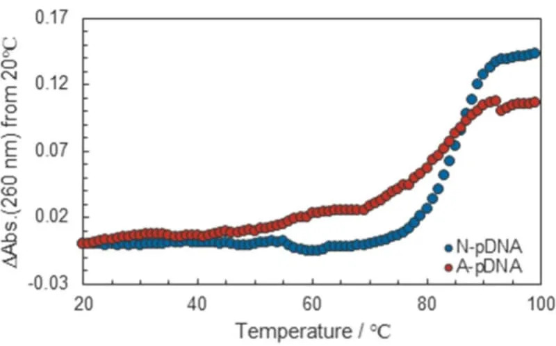
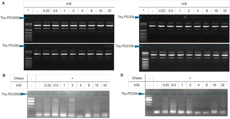
Istraživači su delimično razdvojili dvostruku strukturu plazmida primenom kontrolisanog annealing-a (85 °C, 5 minuta) kako bi privremeno izložili baze. U optimizovanim uslovima (0.2 mM Na+, 0.06 mg/mL plazmidne DNK) Thy‑PEG formira SNTC (single‑nucleobase‑terminal complex) vezama koje štite DNK od razgradnje DNazom i omogućavaju unos u ćelije bez snažnih elektrostatickih interakcija.
Ključni eksperimenti i rezultati
- U ćelijskoj liniji C2C12 Thy‑PEG nije pokazao citotoksičnost koja je bila vidljiva kod razgranatog polietilenimina (PEI), korišćenog kao pozitivan kontrolni polimer.
- Veličina čestica Thy‑PEG/plazmid kompleksa bila je najčešće oko ~100 nm, sa blago negativnim zeta potencijalom.
- U in vivo testu na 5‑nedeljnim ICR miševima, Thy‑PEG sa PEG‑om od 5k (Thy‑PEG5k) pri H/B odnosu 0.5 povećao je ekspresiju luciferaze ~14‑puta u odnosu na annealovanu plazmidnu DNK bez nosača (n = 4, p < 0.1). Sličan, ali nešto slabiji efekat (~12x) primećen je pri H/B = 1.0.
- Kontrolni Am‑PEG5k (amide‑modifikovan PEG) dao je manji efekat (~5x), podržavajući značaj baze‑specifičnog vezivanja.
Ograničenja i perspektive
Rezultati su obećavajući, ali treba ih tumačiti oprezno: in vivo analiza koristi malu grupu životinja (n = 4 po uslovu) i statistički signal se izveštava kao p < 0.1, što ukazuje na trend koji zahteva veće studije radi potvrde. Autori navode da Thy‑PEG5k verovatno daje "optimalnu niskondenzovanu i fleksibilnu strukturu" pogodnu za difuziju u složenu matricu skeletnog mišića, ali precizni mehanizmi i dugoročna bezbednost treba da budu dodatno ispitani.
Rad je objavljen u časopisu ACS Applied Bio Materials. Originalnu popularnu verziju teksta objavila je The Brighter Side of News.
Zaključak
Thy‑PEG predstavlja inteligentan pristup dostavi plazmidne DNK koji zamenjuje jake elektrostatike za tačno ciljano base‑specifično vezivanje. To može smanjiti toksičnost i neselektivno vezivanje u tkivima poput skeletnih mišića, ali su potrebna dodatna istraživanja kako bi se potvrdila efikasnost i bezbednost u većim studijama.
Pomozite nam da budemo bolji.


































