Japanski tim otkrio je ushikuvirus, novi džinovski DNK virus izolovan u jezeru Ushiku, koji inficira vermamoebu i izaziva značajan citopatski efekat — domaćinske ćelije postaju uvećane. Virus ima jedinstvene bodlje na kapsidu i narušava nuklearnu membranu tokom replikacije, što ga stavlja između strategija virusa koji koriste intaktno jedro i onih koji ga razgrađuju. Ovo otkriće daje novu podršku razmatranjima o tome da su virusi mogli doprineti evoluciji eukariotskog jedra i proširuje razumevanje diverziteta džinovskih virusa.
Otkriće ushikuvirusa: Džinovski DNK virus koji može promeniti razumevanje nastanka ćelijskog jedra

Japanski istraživači izolovali su novi džinovski DNK virus nazvan ushikuvirus, pronađen u vodi jezera Ushiku u prefekturi Ibaraki. Virus inficira vermamoebu, vrstu slobodnoživeće amebe, i pokazuje osobine koje mogu pomoći da bolje razumemo evoluciju eukariotskih ćelija.
Zašto je otkriće važno
Ushikuvirus spaja karakteristike dve različite virusne strategije repliciranja: neki srodni džinovski virusi koriste intaktno ćelijsko jedro kao mesto replikacije, dok drugi razgrađuju nuklearnu membranu. Ushikuvirus narušava nuklearnu membranu tokom proizvodnje virusnih čestica, što ga svrstava u međupoložaj na tom spektru i daje dodatne podatke u raspravi o tome kako su se mogli razviti kompleksni eukariotski sistemi.
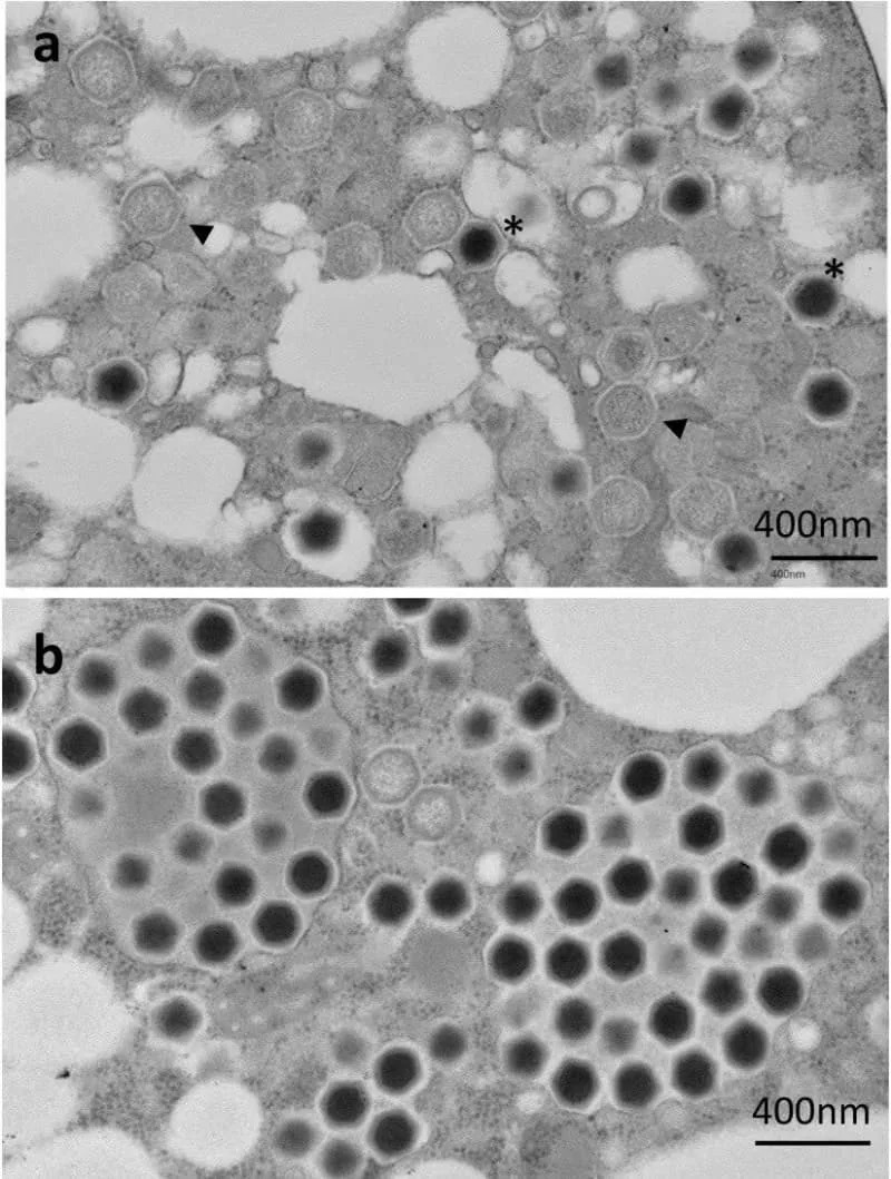
Morfologija i uticaj na domaćina
Istraživači su zabeležili specifične detalje na površini kapsida: višestruke bodlje sa jedinstvenim „kapicama“, od kojih neke imaju filamentozne nastavke. Ovakvi detalji razlikuju ushikuvirus od medusavirusa i drugih bliskih rodova.
Infekcija izaziva izrazit citopatski efekat — vermamoeba ćelije postaju znatno uvećane i otečene, što jasno ukazuje da virus duboko menja ćelijsku biologiju domaćina.
Implikacije za hipotezu o virusnom poreklu jedra
Hipoteza viralne eukarogeneze (viral eukaryogenesis) predlaže da je jedro eukariotskih ćelija moglo nastati iz dugotrajne koegzistencije velikog DNK virusa i arhealnog pretka. Džinovski virusi koji grade membranom ograničene „fabrike“ za replikaciju DNK predstavljaju žive primere compartmentalizovane replikacije i daju empirijsku osnovu za testiranje te ideje. Ushikuvirus, sa svojom sposobnošću da remeti nuklearnu membranu, predstavlja važnu tačku poređenja unutar te diskusije.
Tim i publikacija
Rad potpisuju master studenti Jiwan Bae i Narumi Hantori (Tokyo University of Science), dr Raymond Burton-Smith i prof. Kazuyoshi Murata (National Institute of Natural Sciences) i profesor Masaharu Takemura. Rezultati su objavljeni u Journal of Virology, a preneto je i u medijima poput The Brighter Side of News.
Mogućnosti i ograničenja
Iako otkriće proširuje znanje o diverzitetu džinovskih virusa i njihovim strategijama replikacije, potrebna su dalja ispitivanja genoma, interakcija sa različitim vrstama ameba i evolucione filogenetske analize da bi se preciznije odredilo mesto ushikuvirusa u evoluciji i njegove šire implikacije za poreklo jedra.
„Džinovski virusi mogu se smatrati riznicom čiji svet još nije u potpunosti shvaćen“, kaže prof. Takemura, naglašavajući da svaki novi izolovan virus daje novu perspektivu na odnos između virusa i živih organizama.
Otkriće ushikuvirusa takođe ima potencijalne implikacije za istraživanja vezana za zdravlje: bolji uvid u to kako džinovski virusi inficiraju i razaraju amebe može dugoročno pomoći pri razvoju metoda prevencije ili lečenja infekcija koje izazivaju amebe, iako ushikuvirus direktno ne predstavlja poznati rizik za ljude.
Pomozite nam da budemo bolji.




























